![]()

![]()
![]()
![]()
Por Dra. Géssica Michaliszyn – Cirurgiã-Dentista Radiologista
Serodonto Imagem | Diagnóstico por Imagem Odontológica
Uma visão completa do desenvolvimento dentário
A radiografia panorâmica é um dos exames mais valiosos na odontologia infantil. Com uma única imagem, é possível visualizar toda a arcada dentária, ossos da face e estruturas anatômicas adjacentes, permitindo uma avaliação ampla do crescimento e desenvolvimento da criança.
Além de acompanhar a troca dentária, o exame é essencial para detectar alterações que muitas vezes não são perceptíveis no exame clínico, como a presença de dentes supranumerários — dentes extras que se formam além do número normal.
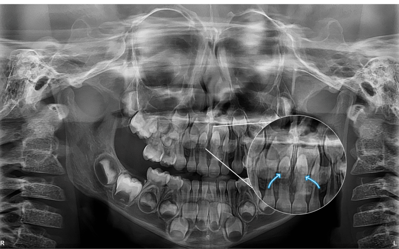
Achado Radiográfico: Dois Dentes Supranumerários
Na imagem panorâmica apresentada, observam-se dois dentes supranumerários localizados na região anterior da maxila, sobrepostos aos germes dos dentes 11 e 21 (incisivos centrais superiores).
Embora nem sempre causem sintomas, os dentes supranumerários podem provocar:
• Atraso na erupção dos dentes permanentes;
• Desvios de posição e apinhamento;
• Alterações estéticas e funcionais;
• Comprometimento da oclusão e do alinhamento dentário.
Por isso, o diagnóstico precoce é determinante para definir a melhor conduta — seja acompanhamento periódico ou intervenção cirúrgica planejada.
Por que realizar a radiografia panorâmica em crianças?
Durante a fase de dentição mista, a panorâmica permite uma avaliação global e preventiva do desenvolvimento bucal. Com esse exame, o dentista pode:
• Avaliar a cronologia de erupção dos dentes decíduos e permanentes;
• Identificar anomalias dentárias (como agenesias, supranumerários ou dentes impactados);
• Verificar reabsorções radiculares e distúrbios de erupção;
• Planejar tratamentos ortodônticos interceptivos de forma mais segura.
O papel do diagnóstico por imagem
A radiografia panorâmica fornece uma visão abrangente e precisa, auxiliando no planejamento personalizado para cada paciente. Em casos como este, ela permite:
• Localizar exatamente os dentes supranumerários;
• Avaliar sua relação com os germes permanentes;
• Evitar complicações cirúrgicas e garantir a preservação das estruturas anatômicas vizinhas.
Conclusão
A radiografia panorâmica infantil é uma ferramenta indispensável no diagnóstico e acompanhamento do desenvolvimento dentário. A identificação precoce de dentes supranumerários, como neste caso, permite um tratamento mais seguro, planejado e eficaz — garantindo saúde bucal, função e estética adequadas para o futuro do paciente.
💡 Na Serodonto Imagem, trabalhamos com tecnologia de alta resolução e protocolos específicos para odontopediatria, assegurando exames confortáveis, precisos e seguros para nossos pequenos pacientes.


