
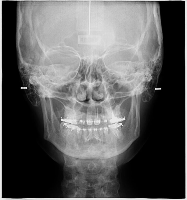
A telerradiografia frontal oferece uma visão frontal do crânio, complementando a análise lateral para um diagnóstico completo.
Benefícios
Avaliação da simetria facial.
Identificação de discrepâncias maxilomandibulares.
Planejamento de intervenções ortodônticas e cirúrgicas.
Análise de padrões de crescimento facial.
Vantagens
Imagem clara e precisa das estruturas faciais.
Facilidade de integração com outras modalidades de imagem.
Suporte na tomada de decisões clínicas.
Processo de aquisição eficiente e confortável para o paciente.