Telerradiografia Lateral

Telerradiografia Lateral: Avaliação Ortodôntica e Planejamento Cirúrgico

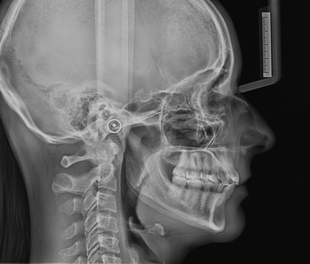
A telerradiografia lateral fornece uma imagem lateral do crânio, essencial para avaliação ortodôntica e planejamento cirúrgico.

Benefícios

  • Análise do crescimento e desenvolvimento craniofacial.

  • Avaliação das relações maxilomandibulares.

  • Planejamento de tratamentos ortodônticos e ortognáticos.

  • Identificação de assimetrias faciais.

Vantagens

  • Imagem em tamanho real, sem distorções.

  • Facilidade na comparação de imagens ao longo do tempo.

  • Auxílio na documentação e monitoramento de tratamentos.

  • Rápido processo de aquisição e análise.

Fale conosco

Tire suas dúvidas ou agende seus exames!

Agende seu exame e tenha um diagnóstico preciso